DIAGNOSTIC DE LA DMLA

Diagnostic de la DMLA

La dégénérescence maculaire liée à l’âge (DMLA) est une pathologie chronique de la rétine qui affecte la vision centrale, essentielle pour la lecture, la reconnaissance des visages ou la conduite. Un diagnostic précoce permet une meilleure prise en charge et peut ralentir l’évolution de la maladie.

Identifier le type de DMLA

La DMLA sèche (atrophique)

Forme la plus fréquente, la DMLA sèche évolue lentement. Elle se manifeste par l’accumulation de dépôts (drusen) sous la macula, entraînant à terme une atrophie progressive des cellules rétiniennes. Cette forme conduit à une perte progressive de la vision centrale, sans douleur.

La DMLA humide (exsudative)

Moins fréquente mais plus agressive, la DMLA humide est causée par la croissance anormale de vaisseaux sanguins sous la rétine (néovaisseaux rétiniens). Ces vaisseaux peuvent fuir ou saigner, provoquant une perte de vision rapide. Le traitement repose sur des injections intravitréennes d’anti-VEGF, destinées à bloquer la croissance de ces vaisseaux.

Les examens diagnostiques

Test d’Amsler et premiers signes

Le test d’Amsler est une grille que l’on regarde œil par œil : l’apparition de lignes déformées, ondulées ou d’une tache sombre peut évoquer une DMLA. Ce test est utile pour un premier repérage des anomalies visuelles à domicile ou en cabinet.

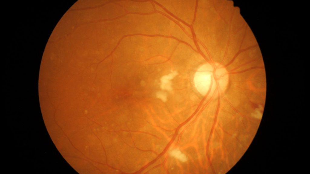
Fond d’œil et OCT (tomographie)

Le fond d’œil permet à l’ophtalmologiste d’observer directement la macula. En complément, l’OCT (tomographie en cohérence optique) est un examen d’imagerie rétinienne fondamental. Il fournit des images en coupe ultra-précises des différentes couches de la rétine. L’OCT permet de visualiser les drusen, d’évaluer l’atrophie ou de détecter la présence d’un œdème ou de néovaisseaux dans les formes humides. Cet examen rapide, non invasif, est indispensable pour le diagnostic et le suivi.

Facteurs de risque de la DMLA

Âge, génétique et mode de vie

L’âge est le principal facteur de risque : la DMLA apparaît généralement après 55 ans. La génétique joue aussi un rôle important : avoir un parent atteint augmente le risque. Le tabac est un facteur aggravant majeur, doublant le risque de développer la maladie.

Alimentation et exposition solaire

Une alimentation pauvre en antioxydants peut fragiliser la macula. Il est recommandé de consommer des fruits, légumes, poissons gras et de protéger ses yeux du soleil par des verres filtrants anti-UV. Ces mesures préventives aident à préserver le capital visuel.

Traitements et prise en charge de la DMLA

Injections intravitréennes

Le traitement de référence de la DMLA humide repose sur les injections d’anti-VEGF (injections intravitréennes), réalisées directement dans le vitré de l’œil. Elles bloquent la croissance des néovaisseaux pathologiques. Ce traitement est souvent administré tous les mois au début, puis selon le protocole adapté au patient. Ces injections sont réalisées au cabinet ou en clinique, sous anesthésie locale, dans des conditions d’asepsie strictes. Elles ont permis, ces dernières années, de stabiliser voire d’améliorer la vision dans de nombreux cas.

Aides visuelles et rééducation

Dans les cas avancés ou en complément des traitements, la rééducation en basse vision est très utile. Elle permet d’optimiser les capacités visuelles restantes grâce à des aides optiques (loupes, téléagrandisseurs), un accompagnement psychovisuel, et des stratégies de lecture. Ces outils améliorent significativement la qualité de vie des patients.

À propos du Dr Sophia Bennis

Le Dr Sophia Bennis, ophtalmologiste spécialisée en rétine médicale, assure le dépistage, le diagnostic et la prise en charge personnalisée de la DMLA. Elle utilise les dernières technologies d’imagerie (OCT, angiographie) et adapte les traitements selon les besoins de chaque patient.

FAQ – Diagnostic de la DMLA

Quels sont les premiers signes ?

Une vision floue au centre, des lignes droites qui paraissent ondulées, des difficultés à lire ou à reconnaître les visages doivent alerter. Ces signes peuvent apparaître de manière progressive ou brutale selon le type de DMLA.

Peut-on diagnostiquer la DMLA chez l’opticien ?

Non. Seul un ophtalmologiste dispose des examens spécialisés comme le fond d’œil ou l’OCT pour poser un diagnostic fiable.

La DMLA peut-elle rendre aveugle ?

Elle ne provoque pas de cécité totale, mais peut entraîner une perte sévère de la vision centrale, rendant la lecture ou la conduite impossible.

Le test d’Amsler suffit-il ?

C’est un test de dépistage utile, mais il ne remplace pas un examen ophtalmologique complet.

La DMLA se soigne-t-elle ?

On ne guérit pas la DMLA, mais des traitements existent, notamment les injections pour la forme humide, et des aides visuelles pour mieux vivre avec la maladie.

Conclusion

Un diagnostic précoce de la DMLA permet une prise en charge efficace et personnalisée. En cas de trouble visuel central ou de facteur de risque, n’hésitez pas à consulter le Dr Sophia Bennis pour un bilan complet.